Welcome to Dr. Richa Miglani's Dental Care Centre.
Anxious about visiting a dentist? At our dental centre we ensure painfree dental treatment s for all age groups. Our chief dentist, Dr. Richa has completed her Masters in Periodontics & Implantology and Fellowship in LASER Dentistry Italy. We are well equipped with all latest technology to provide great dental treatments to our patients.
Our Services
Implant
When you have missing teeth, Implants can be used to replace those teeth. These are titanium screws that act as the natural teeth and help to restore function and esthetics.
Tooth Extraction
If your teeth are decayed badly and cannot be restored or there is a wisdom tooth that is causing pain, don’t worry – We offer trauma free pain free tooth removal.
Denture
Dentures can be complete dentures or partial dentures or cast partial dentures. So if you have missing teeth or a missing tooth dentures can be made to replace those teeth.
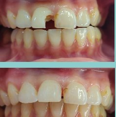
Tooth Color Fillings
These are also called “Composite” fillings. When your teeth get decayed, it is important to remove all the decay and fill the teeth with some tooth colored filling material. If not restored, the decay can go deep inside and you may need a root canal treatment.
Dental Crowns
Crowns also known as “caps” are used to cover damaged surfaces of teeth and Bridges are used to fill the spaces created by missing teeth, These are custom made and we provide all kinds of Crowns and Bridges: from Metal, Porcelain fused to metal (PFM) and even metal free crowns.
Pediatric Dentistry
Kids are prone to decay and a routine dental examination is a must to maintain healthy dentition. Milk teeth should also be maintained as they are the foundation to the permanent set of teeth. Some teeth alignment corrections can be done faster and better if diagnosed at a young age.
Advanced dental treatments offered
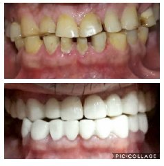
Teeth Whitening
Whitening is among the most popular dental procedures because it can greatly improve how your teeth look.
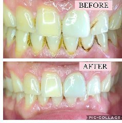
Teeth Cleaning
Teeth cleaning is part of oral hygiene and involves the removal of dental plaque from teeth.
Laser Dentistry
Dental LASERS may be used instead of drills or blades thus minimizing discomfort, lessening the need for sutures, and good bleeding control
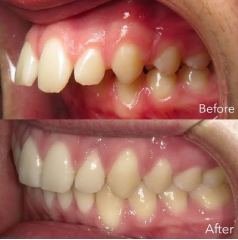
Clear Aligners
These are transparent, invisible braces that is used to correct teeth alignment, crowding between teeth and spacing. These are virtually invisible way to improve smile
Happy Stories
Creating Vibrant Smiles for Healthy Lifestyles!
Teeth looked stunning
I visited Dr. Richa who is also a great friend of mine, few weeks before my wedding as I was not happy with the shade of my teeth. She did one session of teeth whitening. I felt so confident as my teeth looked stunning!!
Pain free visit
Dr Richa is the best dentist, she uses the finest equipment and material. She is sweet and will always give a right guidance and discuss the plan of treatment. I was scared of dentists but this lady is the sweetest smiling dentist with amazing soft hands and always ensures a pain free visit so thanks doc! 🙂
Hygiene is top most
I have been to the clinic quite a few times in the past couple of years and I can assure you that it’s the best dental experience I have had. The doctor is very genuine and gets to the root of the problem and Provides in-depth explanation and the best solutions to our dental needs. Hygiene is top most Of course I highly recommend it, easily one of the best in the county
Awesome!
She is an excellent dentist. Highly recommended. Takes care of patients.
Address
501, 5 th floor, Signature Business Park,Postal Colony, Chembur, Mumbai, Maharashtra 400071
Phone
+(91) 98193 97197
drrichakapoor@gmail.com







